Pneumonia Definition and Causes
Pneumonia has many causes and symptoms. Older adults are at particularly high risk for pneumonia of different types.
Get insurance benefits, legal documents, and medical records in one place

Helpful Highlights
There are 30 types of pneumonia, grouped by cause.
Pneumonia is the result of the body's attack on bacteria, viruses, or fungi that have invaded the lungs.
Some groups, including those over age 65, are at higher risk for pneumonia.
There is a wide range of symptoms and they can differ from person to person.
Definition
Pneumonia is an infection of the lungs that results in mild to severe illness in people of all ages and is caused by the body's attack on bacteria, viruses, or fungi that have entered the lungs. The illness can have a wide range of symptoms that differ among people infected.
Pneumonia can range in seriousness from mild - almost undetectable - to life-threatening. It is most serious for infants and young children, older adults over age 65 (and much more serious in elderly over 80), and for people with significant health problems or weakened immune systems (such as those who are receiving chemotherapy, have advanced HIV or AIDS, or recent organ transplants).
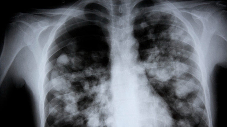
Pneumonia is a build-up of thick fluid in the small sacs of the lungs called the alveoli. It usually occurs in pockets throughout one or both lungs. This is called lung consolidation. It shows up fairly clearly on a chest X-ray.

Key points
There are more than 30 different types of pneumonia and they’re grouped by the cause. The main types of pneumonia are bacterial and viral, though there are also fungal and mycoplasma pneumonia.
Pneumonia can often be diagnosed with a thorough history and physical exam. Lung, blood, and sputum (what is coughed up) tests may also be performed.
A cough with green, yellow, or bloody mucus is the most common symptom of pneumonia. Other symptoms include fever, chills (shaking), shortness of breath, low energy, and extreme tiredness. In children and older adults, pneumonia may present with stomach pain.
A high fever (≥ 102 F or 39 C), a lower-than-normal body temperature, bloody mucus, chest pain, and shortness of breath are not symptoms to ignore. Don’t hesitate to get medical attention when one or more of these symptoms is present. (*Note that less than half of older adults have a fever response. A slight increase may indicate a problem, and their body temperature may actually drop.)
Treatment depends on the type of pneumonia. Antibiotics are used for bacterial pneumonia. Viral pneumonia doesn't have a specific treatment and typically resolves on its own. Other treatments may include a diet rich in fresh fruits and vegetables, an increase in fluid intake, lots of rest, breathing treatments, oxygen therapy, and medicine for pain, cough, and fever control.
Note that lung infections and diseases cause increased fluid loss in the body. As we work harder to breathe, we are exhaling more moisture. Additionally, more fluids help to keep the infected fluid in the lungs from becoming sticky.
Most people with pneumonia respond well to treatment, but without proper treatment, pneumonia can cause serious and long-term problems.
Is pneumonia contagious?
Pneumonia itself is not a bacteria or a virus and is, therefore, not contagious. Pneumonia is the result of the body's attack on bacteria or viruses that have entered the lungs and they are contagious. These organisms are spread through coughing, sneezing, and touching infected surfaces - especially hands to face, which is one of the many reasons hand washing is so important!
What causes older people to get pneumonia?
Usually, people get pneumonia from someone close to them - a spouse, visiting family, or from communal living (such as in an assisted living facility).
Common illnesses that can make older adults particularly susceptible to pneumonia include the common cold (rhinovirus), flu (influenza virus), and COVID-19 (SARS-COV-2).
Older adults can also develop pneumonia from aspiration. Aspiration occurs when, through swallowing, small amounts of food or fluid go into the airway and down into the lungs. Over time, the aspirated material becomes a haven for bacteria and causes pneumonia.
What are the types of pneumonia?
Bacterial pneumonia. Caused by various bacteria and is responsible for most pneumonia cases. It usually occurs when the body is weakened in some way, such as by illness, poor nutrition, old age, or impaired immunity, and the bacteria settle into the lungs. Bacterial pneumonia can affect all ages, those who abuse alcohol, smoke cigarettes, are debilitated, have recently had surgery, have a respiratory disease or viral infection, or have a weakened immune system are at greater risk. Antibiotics are used as treatment.
Viral pneumonia. Caused by various viruses, including the flu (influenza) and COVID-19 (SARS-COV-2), and is responsible for about one-third of all pneumonia cases. A person with viral pneumonia is also at a higher risk of developing bacterial pneumonia. Viral pneumonia has no specific treatment and usually resolves on its own.
Mycoplasma pneumonia. Also caused by bacteria, though has somewhat different symptoms and physical signs. It is also referred to as atypical pneumonia and is not as common as bacterial or viral pneumonia. It generally causes mild pneumonia, with consolidation throughout the lungs, and affects all age groups.
Other pneumonias. Other, less common, pneumonias are caused by fungi. People inhale spores from the air and is largely geographical (depending on where you live). There are three main types of fungi in the U.S. that cause fungal pneumonia.
RESOURCES
American Lung Association (ALA) - Pneumonia
American Thoracic Society (ATS) - Pneumonia
Johns Hopkins Medicine – Pneumonia
National Institute of Health (NIH) Heart, Lung, & Blood Institute – Pneumonia
World Health Organization (WHO) - Pneumonia
No content in this app, regardless of date, should ever be used as a substitute for direct medical advice from your doctor or other qualified clinician.
Get more support and guidance on insurance benefits, medical records and legal forms.
Helpful brings together your insurance benefits, legal documents, and medical records in one personalized place — so you always know what you have, and never have to search again.

Technology for Health Tasks. Mental Health for the Tough Stuff.
Helpful connects your medical records, insurance, and caregiving tasks automatically. And when you need more than logistics, a therapist is here to guide you.
In-Network and Covered
For Individuals, Couples and Families
HIPAA Compliant, Data Stays Private


