Neumonía Definición y causas
La neumonía tiene muchas causas y síntomas. Los adultos mayores corren un riesgo especialmente alto de padecer distintos tipos de neumonía.
Obtenga las prestaciones del seguro, los documentos legales y los historiales médicos en un solo lugar

Aspectos destacados
Existen 30 tipos de neumonía, agrupados por causas.
La neumonía es el resultado del ataque del organismo a bacterias, virus u hongos que han invadido los pulmones.
Algunos grupos, como los mayores de 65 años, corren mayor riesgo de padecer neumonía.
Los síntomas son muy variados y pueden variar de una persona a otra.
Definición
La neumonía es una infección de los pulmones que provoca una enfermedad de leve a grave en personas de todas las edades y está causada por el ataque del organismo a bacterias, virus u hongos que han penetrado en los pulmones. La enfermedad puede presentar una amplia gama de síntomas que difieren entre las personas infectadas.
La neumonía puede variar en gravedad desde leve -casi indetectable- hasta potencialmente mortal. Es más grave en lactantes y niños pequeños, en adultos mayores de 65 años (y mucho más grave en ancianos de más de 80 años) y en personas con problemas de salud importantes o con el sistema inmunitario debilitado (como las que reciben quimioterapia, tienen VIH o SIDA avanzados o han recibido recientemente un trasplante de órganos).
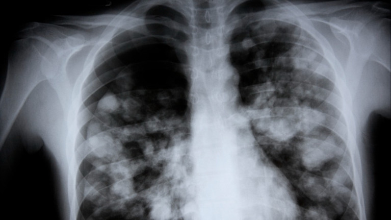
La neumonía es una acumulación de líquido espeso en los pequeños sacos de los pulmones llamados alvéolos. Suele producirse en bolsas en uno o ambos pulmones. Se denomina consolidación pulmonar. Aparece con bastante claridad en una radiografía de tórax.

Puntos clave
Hay más de 30 tipos diferentes de neumonía y se agrupan según la causa. Los principales tipos de neumonía son la bacteriana y la vírica, aunque también hay neumonías fúngicas y por micoplasma.
A menudo, la neumonía puede diagnosticarse mediante una anamnesis y una exploración física minuciosas. También pueden realizarse pruebas pulmonares, sanguíneas y de esputo (lo que se expulsa al toser).
El síntoma más frecuente de la neumonía es la tos con mucosidad verde, amarilla o sanguinolenta. Otros síntomas son fiebre, escalofríos (temblores), dificultad para respirar, falta de energía y cansancio extremo. En niños y ancianos, la neumonía puede cursar con dolor de estómago.
Una fiebre alta (≥ 102 F o 39 C), una temperatura corporal inferior a la normal, mucosidad sanguinolenta, dolor torácico y dificultad para respirar no son síntomas que deban ignorarse. No dude en buscar atención médica cuando presente uno o más de estos síntomas. (*Nótese que menos de la mitad de los adultos mayores responden con fiebre. Un ligero aumento puede indicar un problema y, en realidad, su temperatura corporal puede descender).
El tratamiento depende del tipo de neumonía. Para la neumonía bacteriana se utilizan antibióticos. La neumonía vírica no tiene un tratamiento específico y suele resolverse por sí sola. Otros tratamientos pueden incluir una dieta rica en frutas y verduras frescas, un aumento de la ingesta de líquidos, mucho reposo, tratamientos respiratorios, oxigenoterapia y medicamentos para controlar el dolor, la tos y la fiebre.
Tenga en cuenta que las infecciones y enfermedades pulmonares provocan un aumento de la pérdida de líquidos en el organismo. Al esforzarnos más para respirar, exhalamos más humedad. Además, más líquidos ayudan a evitar que el líquido infectado de los pulmones se vuelva pegajoso.
La mayoría de las personas con neumonía responden bien al tratamiento, pero sin un tratamiento adecuado, la neumonía puede causar problemas graves y a largo plazo.
¿Es contagiosa la neumonía?
La neumonía en sí no es una bacteria ni un virus y, por tanto, no es contagiosa. La neumonía es el resultado del ataque del organismo a bacterias o virus que han penetrado en los pulmones y ellos son contagiosas. Estos organismos se propagan a través de la tos, los estornudos y el contacto con superficies infectadas, especialmente de las manos a la cara, ¡una de las muchas razones por las que lavarse las manos es tan importante!
¿Cuáles son las causas de la neumonía en las personas mayores?
Por lo general, las personas contraen la neumonía a través de alguien cercano: el cónyuge, la familia de visita o la vida en común (como en una residencia asistida).
Entre las enfermedades comunes que pueden hacer a los adultos mayores particularmente susceptibles a la neumonía se incluyen el resfriado común (rinovirus), la gripe (virus de la influenza) y el COVID-19 (SARS-COV-2).
Los adultos mayores también pueden desarrollar neumonía por aspiración. La aspiración se produce cuando, al tragar, pequeñas cantidades de alimentos o líquidos pasan a las vías respiratorias y descienden hasta los pulmones. Con el tiempo, el material aspirado se convierte en un refugio para las bacterias y causa neumonía.
¿Cuáles son los tipos de neumonía?
Neumonía bacteriana. Causada por diversas bacterias, es responsable de la mayoría de los casos de neumonía. Suele producirse cuando el organismo está debilitado de algún modo, como por enfermedad, mala alimentación, edad avanzada o inmunidad alterada, y las bacterias se instalan en los pulmones. La neumonía bacteriana puede afectar a todas las edades, pero corren mayor riesgo quienes abusan del alcohol, fuman cigarrillos, están debilitados, han sido operados recientemente, padecen una enfermedad respiratoria o una infección vírica, o tienen el sistema inmunitario debilitado. Como tratamiento se utilizan antibióticos.
Neumonía vírica. Causada por varios virus, entre ellos el de la gripe (influenza) y el COVID-19 (SARS-COV-2), es responsable de aproximadamente un tercio de todos los casos de neumonía. Una persona con neumonía vírica también tiene un mayor riesgo de desarrollar neumonía bacteriana. La neumonía vírica no tiene tratamiento específico y suele resolverse por sí sola.
Neumonía por micoplasma. También está causada por bacterias, aunque presenta síntomas y signos físicos algo diferentes. También se denomina neumonía atípica y no es tan frecuente como la neumonía bacteriana o vírica. Suele causar neumonía leve, con consolidación en todos los pulmones, y afecta a todos los grupos de edad.
Otras neumonías. Otras neumonías, menos frecuentes, están causadas por hongos. Las personas inhalan esporas del aire y es en gran medida geográfica (dependiendo de dónde se viva). En EE.UU. hay tres tipos principales de hongos que causan neumonía fúngica.
RECURSOS
Asociación Americana del Pulmón (ALA) - Neumonía
American Thoracic Society (ATS) - Neumonía
Johns Hopkins Medicine - Neumonía
Instituto Nacional del Corazón, los Pulmones y la Sangre (NIH) - Neumonía
Organización Mundial de la Salud (OMS) Neumonía
Ningún contenido de esta aplicación, independientemente de la fecha, debe utilizarse como sustituto del consejo médico directo de su médico u otro profesional sanitario cualificado.
Obtenga más ayuda y orientación sobre prestaciones del seguro, historiales médicos y formularios legales.
Helpful reúne sus prestaciones del seguro, documentos legales e historiales médicos en un lugar personalizado, para que siempre sepa lo que tiene y no tenga que buscar nunca más.

Tecnología para tareas sanitarias. Salud mental para lo difícil.
Helpful conecta automáticamente sus historiales médicos, seguros y tareas asistenciales. Y cuando necesites algo más que logística, un terapeuta está aquí para guiarte.
Dentro de la red y cubiertos
Para particulares, parejas y familias
Cumple la HIPAA, los datos siguen siendo privados


Tareas sanitarias simplificadas

Desde sincronizar registros hasta detectar interacciones entre medicamentos, La ayuda hace el trabajo pesado, convertir la compleja información sanitaria en tareas claras y mostrarle las ventajas que realmente puede utilizar, dándole claridad y control sobre su atención.
Obtener ayuda para los cuidados

Salud mental dentro de la red

Nuestros terapeutas licenciados están aquí para ayudarle a usted y a sus seres queridos a superar el estrés, el agotamiento y los momentos más difíciles de la vida, con un enfoque integrador y compasivo que funciona con la mayoría de los planes de seguros.
Hable con un terapeuta